Vermeidung eines zahnärztlichen Notfalles auf einem Langtörn
von Dr. Gregor Walden


Dr. Gregor Walden, geboren 1949, ist von Beruf Zahnarzt. Seine Spezialgebiete Oralchirurgie und Implantalogie.

Dr. Walden begann mit 16 Jahren zu Segeln. Eigenverantwortlich war er als Skipper auf Yachten bis 54 Fuß und Katamaranen bis 40 Fuß. Seine bevorzugten Reviere sind die Türkei, Karibik, Spanien. Seglerische Weiterbildungen erfolgte bei mehreren
Sicherheitstrainings vor Helgoland bei Konstantin Clavie mit Swan 43.

Mit Recht weist der erfahrene Hochseesegler darauf hin, dass zur Vorbereitung auf Langtörns zwar häufig allgemeinmedizinische Kurse besucht werden, dass aber gerade im Hinblick auf Zahnerkrankungen bei kaum einem Weltumsegler in spe eine entsprechende Ausbildung erfolgt. Dabei gehört es doch zu den Albträumen schlechthin in der Mitte eines Ozeans so starke Zahnschmerzen bekommt, dass man gerne zum Zahnarzt gehen würde, wenn einer gerade greifbar wäre.


Auf was ist vor der Fahrt zu achten?

Beim Lesen des Buches von Hans Habeck „Mal sehen wie weit wir kommen“, berichtete der Autor, dass er von starken Zahnschmerzen geplagt wurde und noch einige Tage auf See vor sich hatte. Das hat mich angeregt, über die Möglichkeiten der Vermeidung und der Therapie bei  zahnärztlichen Notfällen nachzudenken: 

Es werden nämlich viele Kurse über Erste Hilfe und akute Notfälle bis zur Operation unter Funkanleitung angeboten, aber ich kenne keinen Bericht über zahnärztliche Notfälle.

Wer ist noch nicht von starken Zahnschmerzen geplagt worden? Dabei ist für einen Segler der Gedanke nahe, dass dies auf einem Ozeantörn in der Flaute passieren könnte ohne Aussicht, in den nächsten Tagen einen Zahnarzt zu erreichen? Für jene, die sich solche Gedanken machen, sind nachfolgende Ausführungen gedacht.

Welche Untersuchungen sollten unbedingt vor dem Törn durchgeführt werden, und wie lange vorher?

Vor einem jahrelangen oder sei es nur monatelangen geplanten Törn ist der Gang zum Zahnarzt unabdingbar. Der Zahnarzt sollte aber auf das jeweilige Unternehmen hingewiesen werden, damit er Probleme, die man vor Ort im Akutfall leicht beseitigen kann, erörtert werden. Solche Probleme können andererseits auf hoher See leicht zu Komplikationen führen könnten.       

Zur Diagnostik sollte ein sogenanntes Orthophantomogramm - das ist eine Aufnahme von beiden Kiefern - erstellt werden. An Hand dessen kann eine Übersichtsdiagnose und bei Zweifel durch eine oder mehrere Einzelaufnahmen eine genaue Diagnose gestellt werden. Diese Aufnahmen sollten nicht älter als 1-2 Monate sein und mitgenommen werden.

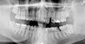
Besonderes Augenmerk ist hierbei auf Weißheitszähne zu legen. Aus diesem Grund sollte ein auch chirurgisch tätiger Zahnarzt aufgesucht werden. Lassen Sie es mich ein bisschen provokant sagen: Weißheitszähne haben auf einer Langfahrtyacht nicht das Geringste verloren. Das wurde unlängst durch den 19-jährigen Johannes Erdmann demonstriert, der unmittelbar vor seiner Atlantiküberquerung eigens wegen einer Weisheitszahnoperation zurück nach Hamburg fliegen musste.

Auf dem Röntgenbild sehen wir vier verlagerte Weißheitszähne, die auf Grund ihrer Lage als Problemfälle anzusehen sind. Speziell der obere linke Weißheitszahn ist schon kariös sehr zerstört. In diesem Fall ist vor einer Langfahrt eine operative Entfernung sämtlicher Weißheitszähne durchzuführen.

Welche Notfälle können auftreten?

Hier sind verschiedene Probleme zu sehen, die bei einer Langzeitfahrt Komplikationen erwarten lassen. Diese sollten vor der Reise abgeklärt und behoben werden. Wir gehen in unserer Praxisklinik solch einen Fall in Narkose an, sodass nach ca. 8 Tagen die Wundheilung in den meisten Fällen komplikationslos sich selbst überlassen werden kann.

Es stellen vorwiegend die verlagerten und halb durchgebrochenen Weißheitszähne die größte Gefahr dar. Auf Grund des warmen und feuchten Milieus ist in diesen Ecken und Winkeln, die der Reinigung nur schwer zugänglich sind, ist deshalb mit einer massiven Bakterienvermehrung zu rechnen. Es kommt zu einer vermehrten Durchblutung und letztlich zur Eiteransammlung in diesem Gebiet.

Ein weiteres akutes Problem können wurzelgefüllte Zähne darstellen. Hier ist besonderes Augenmerk auf die Wurzelfüllung und die Wurzelspitze zu legen. Geht die Wurzelfüllung bis ca. 1mm vor die Wurzelspitze oder ist sie unvollständig bzw. sehen wir an Ihr so genannte Aufhellungen so sollten diese unbedingt chirurgisch beseitig werden.

Nach Füllungen mit ausgedehnter Karies könnte sich eine Nervreizung ergeben, die eine Wurzelbehandlung bedingen würde.

Nach einer Extraktion könnte eine so genannte trockene Alveole entstehen; das heißt die Wunde, wo der Zahn gezogen wurde, ist nicht zugeblutet und die Knochenflächen liegen frei und entzünden sich. Dies ist im Unterkiefer häufiger als im Oberkiefer auf Grund des Speichels der das Blutkoagel mit dem im Speichel vorhandenen Bakterien infizieren kann.  

Selbst bei exakter Wurzelfüllung können nach einer Behandlung Probleme wie Druckempfindlichkeit auftreten, die, wenn sie nicht nach ca. 3 Wochen verschwunden sind, anders therapiert werden müssen.

Weitere Probleme seien angedeutet: Haben Füllungen oder Inlays Spalten? Sind einige Zähne auf warm oder kalt empfindlich?

Kommen wir zum Zahnfleisch: Ein gesundes Zahnfleisch ist für den Erhalt der Zähne von großer Bedeutung. Daher sollte vor jeder Langfahrt und auch zwischen durch eine ausgiebige Zahnreinigung evtl. Parodontosebehandlung durchgeführt werden. Zahnfleischbluten sind erste Anzeichen von Erkrankung.

Wie viel Zeit sollte nach der letzten zahnärztlichen Behandlung und dem Törn dazwischen liegen?

Wenn es sich um konservierende, chirurgische oder prothetische Behandlungen handelt, ist der/die zukünftige Weltumsegler/in mit einem Monat immer auf der sicheren Seite.

Klassifizierung von Zahnerkrankungen

banal

Mundschleimhauterkrankung, so genannte Aphten, sind kleine bläschenartige Veränderungen der Mundschleimhaut die zwar schmerzhaft, aber von harmloser Natur sind. Sie verschwinden nach ca. 6 Tagen ohne Therapie.

Leichtes Zahnfleischbluten ausgehend von zum Teil ungenügender Zahnpflege während der Zeit an Bord.

Ein Kind in meiner Praxis sagte mir einmal auf die Frage nach der Zahnpflege: Normal gut aber zurzeit habe ich Ferien. Im Bordalltag muss die Zahnpflege einen festen Platz einnehmen.

mittelschwer

Auf warm und kalt stärker reagierender Zahn.

stärker schmerzhaft/akut druckempfindlich - Aufbiss tut weh

Der Zahn ist auf kalt oder/und warm äußerst empfindlich. Zahnfleisch oder Schleimhautschwellung mit Spannungsgefühl und sichtbarer Schwellung der entsprechenden Region. Spontanentleerung von Eiter.

Diagnose

Als Ursachen bei mittelschweren und akuten Zahnerkrankungen können einmal freiliegende Zahnhälse als kleinere Ursache, Sekundär-Karies unter alten Füllungen oder defekte Füllungen in Frage kommen. Dies bedingt, dass, vereinfacht gesagt, der Nerv gereizt wird und es zu einer vermehrten Durchblutung kommt. Das aber kann dazu führen, dass man seinen Puls im Zahn spürt.

Therapie

Die mittelschweren bis schwereren Probleme können am Besten, sollte keine zahnärztliche Behandlung möglich sein, mit Voltaren (abschwellendes Präparat) behandelt werden. Es ist jedoch darauf hin zu weisen, dass Magen-Darm-Probleme bei empfindlichen Patienten auftreten können. Es wird daher angeraten, generell vor der Einnahme Nexium oder artverwandte Präparate ein zu nehmen.  

Tritt die Situation "stärker schmerzhaft/akut druckempfindlich - Aufbiss tut weh" ein und ist der Zahn nicht mehr vital, das heißt, er zeigt keine Reaktion auf kalt oder dass Kälte sogar eine Erleichterung bringt, sollte eine Abszedierung (Eiteransammlung) nicht auszuschließen sein. In Anbetracht dessen, das eine zahnärztliche Behandlung erst viel später erfolgen kann, sollte zu Voltaren noch ein Antibiotikum eingenommen werden und da die Hoffnung ja bekanntlich erst am Schluss stirbt - der Schmerz bis zur Behandlung ausbleibt. Tritt Eiter aus, ist ein Antibiotikum unerlässlich.

Hier ein paar Beispiele, was an Bord passieren könnte:

Im rechten Unterkiefer liegt eine deutliche Schwellung, die durch eine Eiteransammlung in diesem Gebiet zustande kommt, ausgehend von dem Wurzelrest. Hier ist eine Inzision(Schnitt) im Notfall auch von einem angeleiteten Laien in Lokalanästhesie möglich.

 

 

Hier liegt dieselbe Situation im Oberkiefer vor, die auf ähnliche Weise anzugehen ist, wie im oberen Bild.

 

 

 

Ein Unfall: Zwei Verletzungen der Weichteile mit Zahntrauma. Eine solche Wunde sollte auf jeden Fall wenigstens durch Situationsnähte so versorgt werden, dass die Wundränder adaptiert sind. Sollten die Zähne frakturiert sein, müssten sie evtl. entfernt werden. Die Wundränder sind sowohl von außen wie von innen zu adaptieren. Dies kann leicht in Lokalanästhesie (leichte Technik) geschehen. 

 

 

Erste Hilfe und geeignete Instrumente  

Einfache chirurgische Therapien werde ich bei Bobby Schenk's Blauwasserseminar 2007 auf der Hamburger Bootsmesse vorstellen, und gegebenenfalls ein Notfallseminar mit Erlernen von einfachen Techniken, Wundversorgung, Injektionen und Abszesseröffnung durchführen.

Ich wünsche eine zahnschmerzfreie Zeit und verbleibe mit besten Wünschen

Ihr Dr. Walden

Anmerkung: Wenn jemand spezielle zahnärztliche Fragen an mich hat, bin ich gerne bereit, diese zu beantworten. Kontakt über GWSTSail@t-online.de

 

  zur Home-Page

 

Page by Bobby Schenk
E-Mail: mail@bobbyschenk.de
URL of this Page is: https://www.bobbyschenk.de/parasil/dentist.html

Impressum und Datenschutzerklärung